Infection of the gums around the implant The most common reason dental implants fail is because of an infection in the jaw around the dental implants, called periimplantitis. While implants cannot develop tooth decay, they are still susceptible to the implant form of gum disease. The success of an implant procedure depends on many factors, but certain habits and medical conditions can increase the risk of the implant wobbling. Gum disease and bruising (teeth grinding) can damage an implant that is healing, while diseases such as osteoporosis that attack bone strength and density can make it difficult to anchor the implant screw.
Ongoing cancer treatment can also cause the implant to pause, as radiation therapy can sometimes inhibit the ability of bones to heal. Osseointegration is the process in which the implant fuses with bone. When this process occurs, the implant becomes a permanent part of the bone and acts as an anchor for artificial teeth. Implant failure can occur if the osseointegration process does not occur.
This failure has a higher risk of occurring if you have uncontrolled diabetes, low bone density, or untreated gum disease. Poor oral hygiene can also prevent the osseointegration process, so it is essential to properly care for teeth, gums and implants. There is a 2.5 mm oral movement of the incisors, which can cause a loss of space in the arch and cause a crowd. Having a dental implant is more than just improving your smile, it can help prevent the many health problems associated with missing teeth.
Patients often approach Spyrakis to fix faulty dental treatments and implants, which were performed by other dentists. Especially with low-cost suppliers and foreign laboratories, who may use substandard materials, causing complications with size and fit, compromising implant stability. The Australian Dental Association states that every time something foreign is introduced into the body, there is a possibility of side effects. Reasons for dental implant failure include teeth grinding, an allergic reaction to the materials used, improperly made dental impressions, infections, nerve damage, implant movement, problems with the underlying jaw bones, and various medication conditions.
Peri-implantitis is a disease characterized by inflammation of the gum tissue and bone surrounding the dental implant, resulting in the loss of the supporting bone that surrounds it. The incidence of this is more common in inexperienced dental implant dentists or when the dentist does not use treatment planning as part of their practice. Osseointegration is a term used to describe the development of the structural bond between bone and the newly inserted titanium implant. Therefore, when planning the placement of dental implants in a child, this problematic age period extends from 9 to 15 years for girls and from 11 to 17 years for boys.
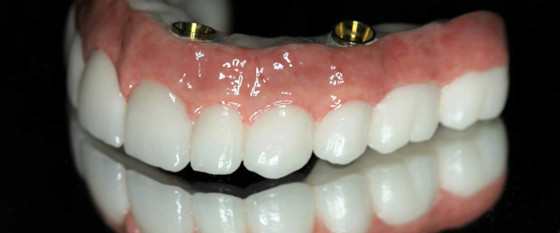
He teaches full time as an associate clinical professor at his alma mater, the New York University School of Dentistry, is a graduate of the American Board of Orthodontics and sits on the advisory boards of the American Dental Education Association. You risk early implant rejection if you have extreme sensitivity to foreign objects or if you experience an allergic reaction to the implant. The implant dentist will do a bone health evaluation before the procedure. The crown of the dental implant (the false tooth) must be perfectly adapted to the surrounding teeth; there must be a perfect fit.
Whether you need to replace a single tooth or multiple teeth, dental implants and All on 4 can give you a beautiful, natural smile while improving your quality of life. .







